Solving cross-border talent gap for medical annotation across SEA
74
medical practitioners onboarded
800+
professionals waitlisted
14-day
average time-to-hire
USE CASE
Medical data annotation | Global expert recruitment
INDUSTRY
Healthcare
SOLUTION
Data Stack

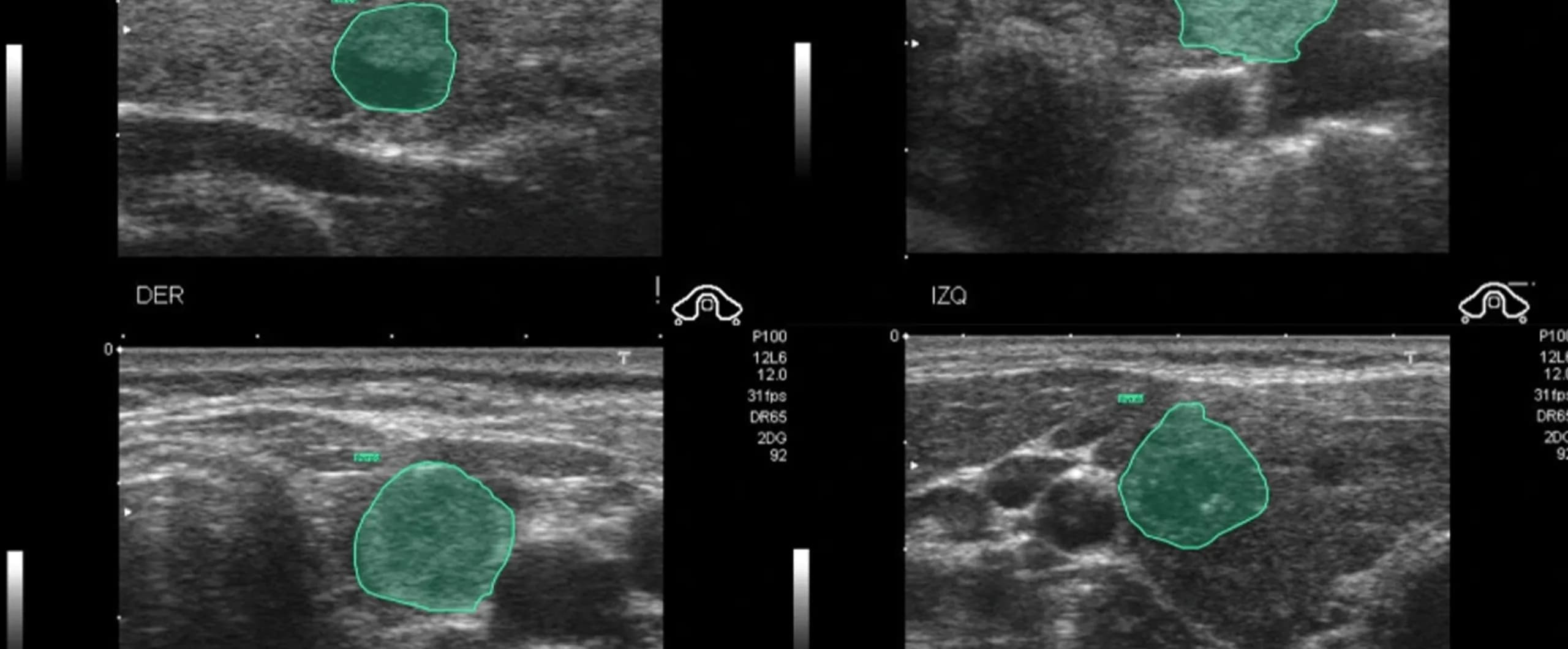
The mission: Advance thyroid diagnostics to facilitate decision-making
The client’s vision was to reshape how thyroid conditions are diagnosed and understood by leveraging the precision and scalability of artificial intelligence. Their goal was to lay the foundation for AI-powered tools that could support clinicians in delivering faster, more accurate, and accessible thyroid diagnostics across the region. To achieve this, they needed more than just data. They needed authentic clinical knowledge embedded into their model through expertly annotated imaging data. This required collaboration with 50 qualified medical professionals across Southeast Asia (Philippines, Indonesia, Vietnam, Malaysia, and Singapore) who could bring domain expertise to every annotation, ensuring the model was grounded in real-world diagnostic accuracy.
The challenge: Attracting specialized medical experts
Recruiting licensed medical professionals, especially those qualified to label imaging data requires a highly targeted approach. Traditional job boards and recruiting strategies often fall short when sourcing for AI projects that sit at the intersection of healthcare and technology.
Key obstacles:
- Challenging qualifications for talents that include professionals with hands-on experience in medical imaging interpretation, and hold dual expertise in clinical diagnosis and digital tools
- Annotation work viewed as just a gig, and not as a meaningful contribution to the future of healthcare
- Strict hiring timelines across multiple countries and regulatory contexts
- Competing for attention in a market where medical professionals are already in high demand
The goal:
Design a talent acquisition strategy rooted in purpose and impact, and not just mere compensation.
The solution: Strategic positioning with purpose and speed
Going beyond traditional job listings, we built a narrative that mattered. By clearly communicating the real-world impact this work would have on medical AI innovation, we tapped into a deeper motivation among practitioners: contributing to future-facing healthcare technologies.
Our approach:
- Framed the annotation work as a pivotal role in advancing diagnostic AI, not just task-based labor
- Leveraged local and regional networks to accelerate qualified leads
- Screened talents for both clinical know-how and annotation readiness through a series of task-based assessments and video interviews
- Deployed a flexible annotation workflow through our proprietary workforce platform, tailored to fit the limited 2-hour daily availability of medical practitioners
The results: Visionary medical experts onboarded
- Exceeded target headcount rate by over 40% with 74 licensed medical professionals hired
- Secured talent pool for future projects with 800+ candidates waitlisted
- Hit a 14-day average time-to-hire
- Gained high interest from candidates motivated by healthcare innovation and AI advancement
This success not only fulfilled our client’s immediate hiring goal, but also built a regional bench of medical experts passionate about shaping the future of diagnostics through AI.
Gain access to experts for hard-to-fill roles
We specialize in finding and engaging the right professionals for complex projects, no matter the geography or expertise.
More stories

Solving document fragmentation to power freight AI
Enabled a logistics payment company to rapidly scale high-accuracy data labeling for fragmented, handwritten shipping documents to drive smarter freight cost optimization.

Screening UI experts to tackle AI talent noise
Identified and recruited UI designers through custom screening to meet complex criteria for a high-fidelity UI dataset development.

Solving language blind spots with culturally fluent AI
Engaged multilingual Asian talents to capture local language and cultural nuance, accelerating high-accuracy training for an AI communication model.